
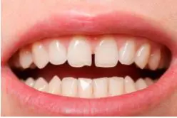
Orthodontic treatment may require braces to move the teeth together. If treatment involves the lateral incisors a dentist may suggest widening with the aid of crowns, Vivaneers™, or bonding. A diastema caused by a missing tooth may require extensive dental repair. If a gap tooth is from a large labial frenum the patient will require a surgery called a frenectomy to reduce the frenum. Lastly, if the gap stems from periodontal disease the patient will require orthodontic treatment from a periodontist, or gum specialist first. After the patient has healed, in many cases, braces may be used for further orthodontic treatment to shift the teeth into place. A splint may be used to attach teeth together to prevent moving again, also, sometimes a bridge is required to close the spaces.
If you suffer from a gap tooth, also known as a diastema, and have further inquiries for professional dentistry please contact University Centre Dental Associates today to make an appointment with Dr. Elizabeth Haynes or Dr. Maurice Haynes. Our office is located in Greenbelt, MD and we proudly serve patients in the Washington, DC area and surrounding communities such as Prince George’s County, Montgomery County, and Anne Arundel County.
Recent Comments